AutoCardio 4D
Inter Medical AutoCardio 4D-Software
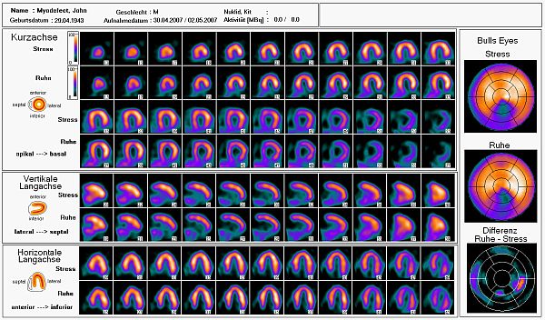
Fully automated evaluation software for the reproducible evaluation of gegatedten and ungegatedten heart studies.
Fully automated evaluation software for the reproducible evaluation of gegatedten and ungegatedten heart studies.

High resolution 3D reconstruction with fully automatic identification of cardiac structure, cardiac axes Reorientation and the automatic growth of the myocardium.

Fully automatic presentation of all diagnostically relevant cardiac parameters with validated EF calculation Referring to the MRI gold standard including calculation of the SSS and the SRS sums scores validated with MRI over 1100 patients.

Polar map representation with complete reconstruction.
Product Brochure



